There’s a virus you may have never heard of before that is estimated to infect up to 90 percent of people and lurks quietly in your cells for life—but if it becomes activated, it will destroy your brain. If that’s not startling enough, researchers reported this week that there may be a new way for this virus to activate—one that affects up to 10 percent of adults worldwide.
The virus is the human polyomavirus 2, commonly called either the JC virus or John Cunningham virus, named after the poor patient from whom it was first isolated in 1971. It shows up in the urine and stool of infected people and spreads via the fecal-oral route. Many people are thought to be infected early in life, and blood testing surveys have suggested that 50–90 percent of adults have been exposed at some point.
Researchers hypothesize that the initial site of infection is the tonsils, or perhaps the gastrointestinal tract. But wherever it happens, that initial infection is asymptomatic. At that point, a person is infected with what’s called the archetype JC virus, which quietly sets up a persistent but utterly silent lifelong infection.
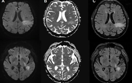
For the vast majority of people, that is all their JC virus infection will be—silent. But for an unlucky few, the JC virus will seemingly awaken, rearrange its genetic material, and morph into a brain-demolishing nightmare that causes a disease called progressive multifocal leukoencephalopathy or PML.



This is also true of tuberculosis as I understand it. Most people have it asymptomatically, but it can indeed activate at some point in life.
Kurzgesagt did a fun-to-watch video explaining things:
https://www.youtube.com/watch?v=GFLb5h2O2Ww
“Everything is tuberculosis”
Is that why it’s never lupus?
Oh?
John B Stetson.